+918042753781
Currently it only shows your basic business info. Start adding relevant business details such as description, images and products or services to gain your customers attention by using Boost 360 android app / iOS App / web portal.

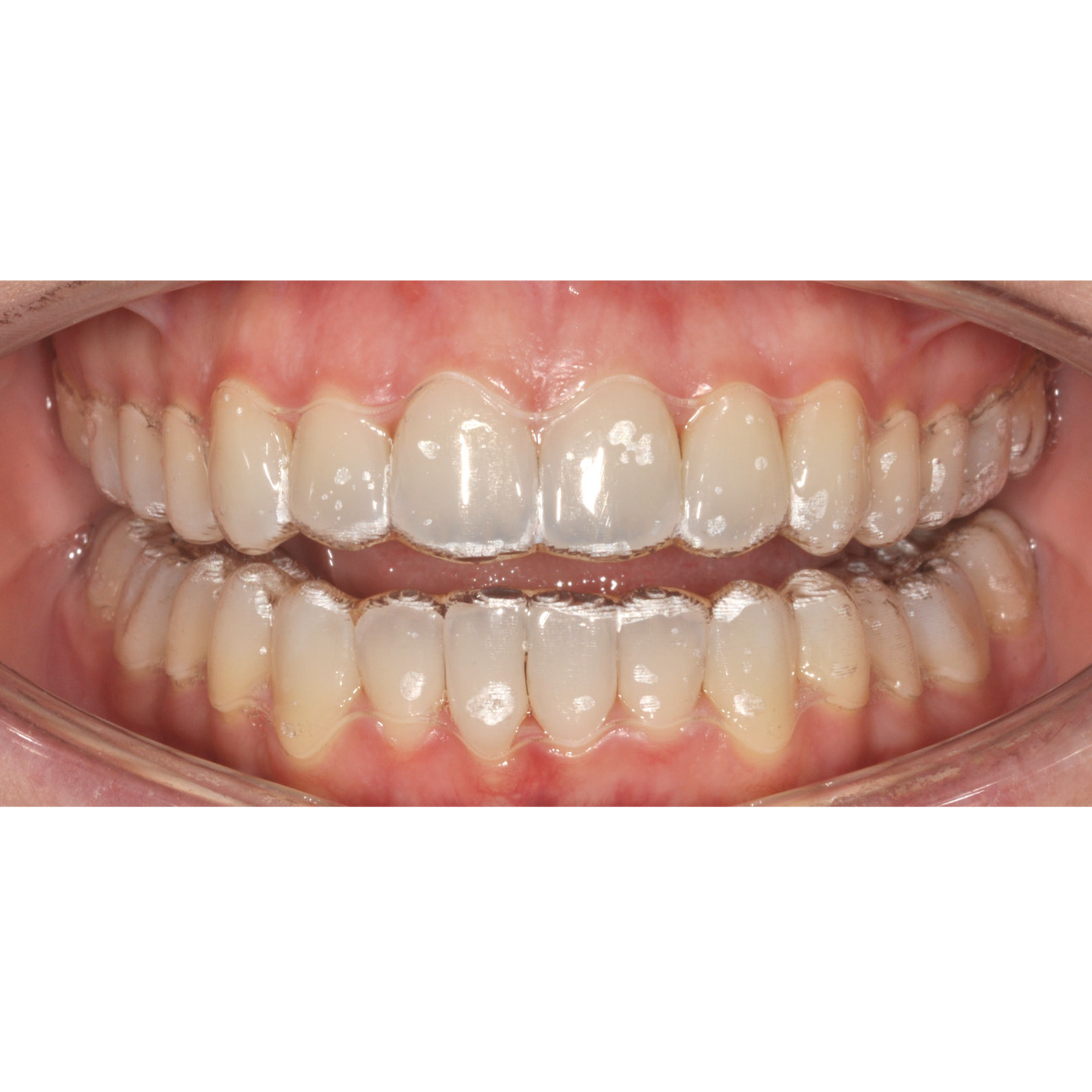
An Essix retainer is a clear, removable orthodontic appliance used to maintain tooth alignment after active orthodontic treatment. It is made from a thin, transparent thermoplastic material that is custom-molded to fit precisely over the patient’s teeth. Due to its clear design, the Essix retainer is highly aesthetic and minimally noticeable when worn, making it a popular choice among patients. It helps prevent relapse by holding teeth in their corrected positions while surrounding bone and soft tissues stabilize. Essix retainers are lightweight, comfortable, and easy to insert and remove. However, they require proper care, as the material can wear, crack, or discolor over time. Regular cleaning and avoidance of heat exposure are essential. Although primarily used for retention, Essix retainers may also be used for minor tooth movement or protection against grinding. dental clinic in Nolambur, dentist in Nolambur, best dental clinic in Nolambur, best dentist in Nolambur, root canal treatment in Nolambur, dental crowns and bridges in Nolambur, wisdom tooth removal in Nolambur, dental brackets and wires in Nolambur, denture treatment in Nolambur, near me , dental clinic in Mogappair, dentist in Mogappair, best dental clinic in Mogappair, best dentist in Mogappair, root canal treatment in Mogappair, dental crowns and bridges in Mogappair, wisdom tooth removal in Mogappair, dental brackets and wires in Mogappair, denture treatment in Mogappair, near me