+918042753781
Currently it only shows your basic business info. Start adding relevant business details such as description, images and products or services to gain your customers attention by using Boost 360 android app / iOS App / web portal.

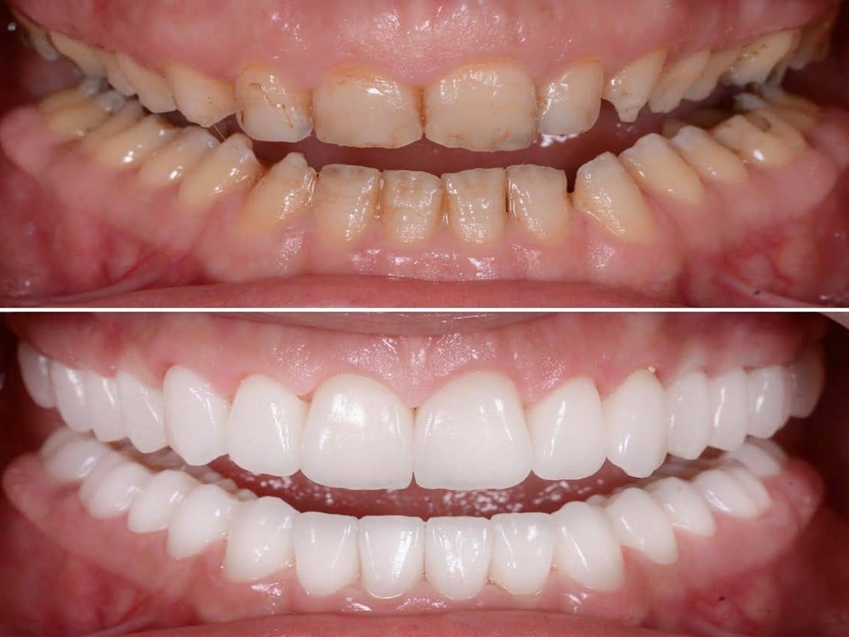
Full mouth rehabilitation is a comprehensive dental treatment aimed at restoring the function, health, and aesthetics of the entire dentition. It involves the reconstruction or replacement of all teeth in both the upper and lower arches to address extensive decay, severe wear, trauma, bite problems, or congenital conditions. Treatment planning is multidisciplinary and may include procedures such as crowns, bridges, veneers, dental implants, root canal therapy, periodontal therapy, and orthodontics. Careful evaluation of occlusion, vertical dimension, jaw relationships, and facial aesthetics is essential to achieve long-term stability and comfort. Diagnostic tools like radiographs, impressions, and digital scans help guide precise treatment sequencing. The goal is to improve chewing efficiency, speech, and appearance while relieving pain or dysfunction. Full mouth rehabilitation requires detailed planning, skilled execution, and regular follow-up to maintain optimal oral health outcomes. Best dental clinic in mogappair , Best dental clinic in nolambur, Best dental clinic in mogappair east, Best dental clinic in mogappair west, Best dental clinic in ambattur, Best dental clinic in avadi, Best dental clinic in maduravoyal, Best dental clinic in ayanambakkam, Best dental clinic in vanagaram, Best dental clinic in anna nagar west, Best dental clinic in thirumangalam, Best prostho dental clinic in mogappair , Best prostho dental clinic in nolambur, Best prostho dental clinic in mogappair east, Best prostho dental clinic in mogappair west, Best prostho dental clinic in ambattur, Best prostho dental clinic in avadi, Best prostho dental clinic in maduravoyal, Best prostho dental clinic in ayanambakkam, Best prostho dental clinic in vanagaram, Best prostho dental clinic in anna nagar west, Best prostho dental clinic in thirumangalam.