+918042753781
Currently it only shows your basic business info. Start adding relevant business details such as description, images and products or services to gain your customers attention by using Boost 360 android app / iOS App / web portal.

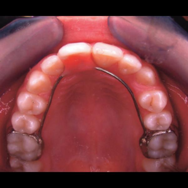
WRAP AROUND RETAINER AFTER ORTHODONTIC TREATMENT
View Details
REMOVABLE APPLIANCES IN ORTHODONTIC TREATMENT
View Details
GROPER'S APPLIANCE FOR KIDS IN SREE DENTAL CLINIC
View Details
CBCT X-RAY Uses in dentistry
View Details
OPG X-RAY USES IN DENTISTRY
View Details
HAWLEY'S RETAINER AFTER ORTHODONTIC TREATMENT
View Details
ESSIX RETAINER AFTER ORTHODONTIC TREATMENT
View Details
HYRAX APPLIANCE IN SREE DENTAL CLINIC
View Details